
Imagens precisas e detalhadas para diagnósticos confiáveis e realização de procedimentos guiados.

@elizaducati
“Dar o diagnóstico aos médicos e às pacientes e poder ainda guiar os preenchimentos estéticos é fenomenal, traz muito mais confiança e segurança aos procedimentos.”
Radiologista – CRM 195577 | RQE 73847

Estou impressionado com a qualidade deste equipamento. Os recursos e a imagem realmente são comparáveis aos equipamentos grandes que eu estava acostumado.
Radiologista – CRM SP 59.512 | RQE 45534
Não existe realmente concorrência no mercado de dispositivos portáteis quando falamos de qualidade e design, diz Dani Sher, que utiliza o Clarius em sua prática e também ministra treinamentos de ultrassom. Ele é compacto e a Clarius fez um excelente trabalho ao evoluir o produto para atender às necessidades dos profissionais. Criaram novos presets, muito bem desenvolvidos para cada região. O controle por voz é uma inovação impressionante e eu realmente adoro a resolução que o Clarius oferece. É possível visualizar detalhes com muita clareza, e já consegui diagnosticar complicações bem interessantes graças a isso.

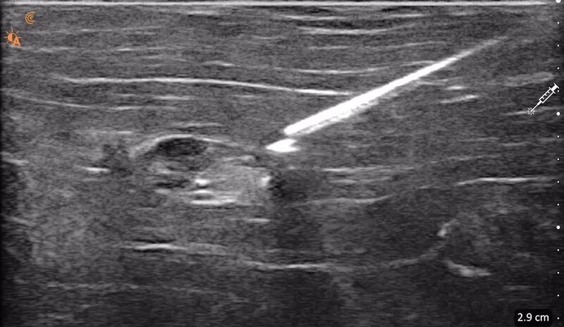
Nosso transdutor linear mais versátil, o Clarius L7 HD3 entrega imagens da anatomia superficial com imagem otimizada para até 15 cm.
Sem fio e acessível, é a melhor escolha para médicos que buscam alta performance em um transdutor ultra portátil.
Desenvolvido por inteligência artificial, conta com presets especializados e fluxos automatizados para imagens superficiais de altíssima definição.
Visualize em cores e em tempo real a diferenciação entre as estruturas anatômicas. Tenha medidas automáticas e diversos recursos de otimização de imagem como o aprimoramento na visualização da agulha.
Com 192 elementos e tecnologia de 8 feixes, o Clarius entrega alta performance nos ultra portáteis com qualidade de imagem e recursos equiparáveis aos equipamentos high end convencionais.
Congele, capture imagens, altere o modo, ganho e profundidade sem encostar na tela, apenas com o comando de sua voz.
O Clarius é o único ultra portátil do mundo a possuir o recurso da elastografia, permitindo a avaliação da elasticidade e rigidez dos tecidos.
Gerencie seus relatórios no Cloud e compartilhe os resultados diretamente pelo aplicativo.
Presets especializados, ajustes e medições automatizadas por inteligência artificial.
Fundada em 2016, fomos os pioneiros na implementação desta tecnologia no Brasil. Uma concepção de Edson Lopes (CEO) e profissionais com mais de 30 anos de experiência em multinacionais na área da ultrassonografia.
Com escritório sediado em São Paulo, atendemos todo o Brasil com garantia, assistência técnica, possibilidade de seguro anual de baixo custo, além dos certificados da ANVISA, Inmetro e Anatel.
Recomendado para especialistas que buscam altíssima definição de imagem e recursos avançados equiparáveis aos equipamentos high end convencionais. Premiados como o maior distribuidor da América Latina em 2023 e 2024, a Mobissom é o único autorizado da Clarius no Brasil.

Frequência: Linear (4 – 13 MHz)
Profundidade: Até 15 cm
Modos: B, B/M, Color, PDI, PW, T-Mode, Elastografia
Autonomia: 1 hora em uso contínuo e 90 min para recarga completa
Recursos: Harmônica, Ganho Setorial, Suavizador de Ruído (192 elementos)


No cartão, em 12 VEZES de
ou R$ 54.000 À VISTA
Consulte as condições de financiamento bancário em até 60x.
Agende uma demonstração online com nossas applications e veja os recursos e as imagens em tempo real além de tirar todas as suas dúvidas.
Você pode adquirir seu Mobissom/Clarius mediante financiamento bancário em até 60 vezes, cartão de crédito em até 12 vezes ou à vista via pix.
Quanto menos parcelas, maior será o desconto concedido.
Entre em contato para realizar uma simulação.
A Mobissom preza pela segurança e qualidade no atendimento dos seus clientes. Com 10 anos de mercado e pioneira no mercado dos ultra portáteis no Brasil, é 100% regularizada no Brasil e todos os seus equipamentos possuem registro na ANVISA além dos certificados do inmetro e Anatel.
OBS: Equipamentos adquiridos fora do Brasil e sem intermediação da Mobissom, não possuem registro.
Nós oferecemos 1 ano de garantia.
Se por acaso ocorrer qualquer problema técnico com o seu equipamento, dentro do período de garantia, é só nos enviar o seu Mobissom/Clarius que realizaremos o conserto. Após a garantia, nossos técnicos realizam uma análise e passam o orçamento com as peças a serem reparadas.
Temos um escritório com assistência técnica em Sâo Paulo e atendemos todo o Brasil.
A Mobissom possui parceria com seguradoras confiáveis que oferecem um seguro anual de baixo custo para o seu Mobissom/Clarius contra queda e roubo.
Caso queira contratar o seguro, é só solicitar aos nossos especialistas que indicarão as empresas parceiras.
O aplicativo é gratuito, porém alguns recursos avançados estão vinculados ao membership da Clarius. Os clientes da Mobissom recebem 3 anos de acesso incluídos na compra do equipamento. Após esse período, é possível renovar o membership anualmente ou optar pela versão vitalícia.
Podemos agendar uma demonstração via vídeo conferência (leva apenas 30 minutos) através do Google Meets, onde exibiremos exames em tempo real além de tirar todas as suas dúvidas.
Outra possibilidade é marcar uma visita no nosso escritório em Sâo Paulo, ou nos encontrar em um dos congressos que participaremos em todo o Brasil ao longo do ano.