
Avaliação detalhada de estruturas superficiais e intermediárias diretamente no seu dispositivo móvel iOS ou Android.

@elizaducati
“Dar o diagnóstico aos médicos e às pacientes e poder ainda guiar os preenchimentos estéticos é fenomenal, traz muito mais confiança e segurança aos procedimentos.”
Radiologista – CRM 195577 | RQE 73847

Estou impressionado com a qualidade deste equipamento. Os recursos e a imagem realmente são comparáveis aos equipamentos grandes que eu estava acostumado.
Radiologista – CRM SP 59.512 | RQE 45534
Não existe realmente concorrência no mercado de dispositivos portáteis quando falamos de qualidade e design, diz Dani Sher, que utiliza o Clarius em sua prática e também ministra treinamentos de ultrassom. Ele é compacto e a Clarius fez um excelente trabalho ao evoluir o produto para atender às necessidades dos profissionais. Criaram novos presets, muito bem desenvolvidos para cada região. O controle por voz é uma inovação impressionante e eu realmente adoro a resolução que o Clarius oferece. É possível visualizar detalhes com muita clareza, e já consegui diagnosticar complicações bem interessantes graças a isso.

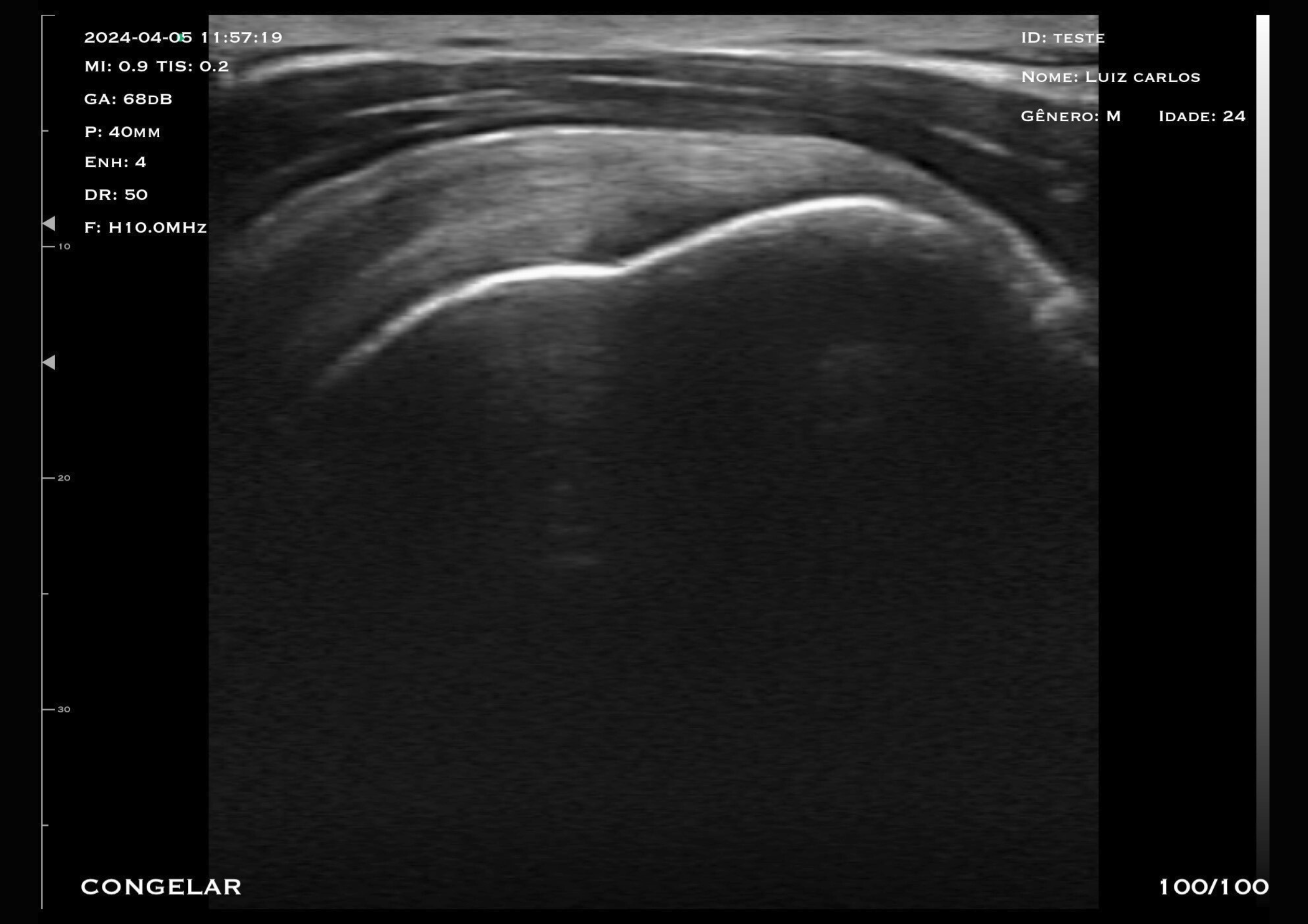
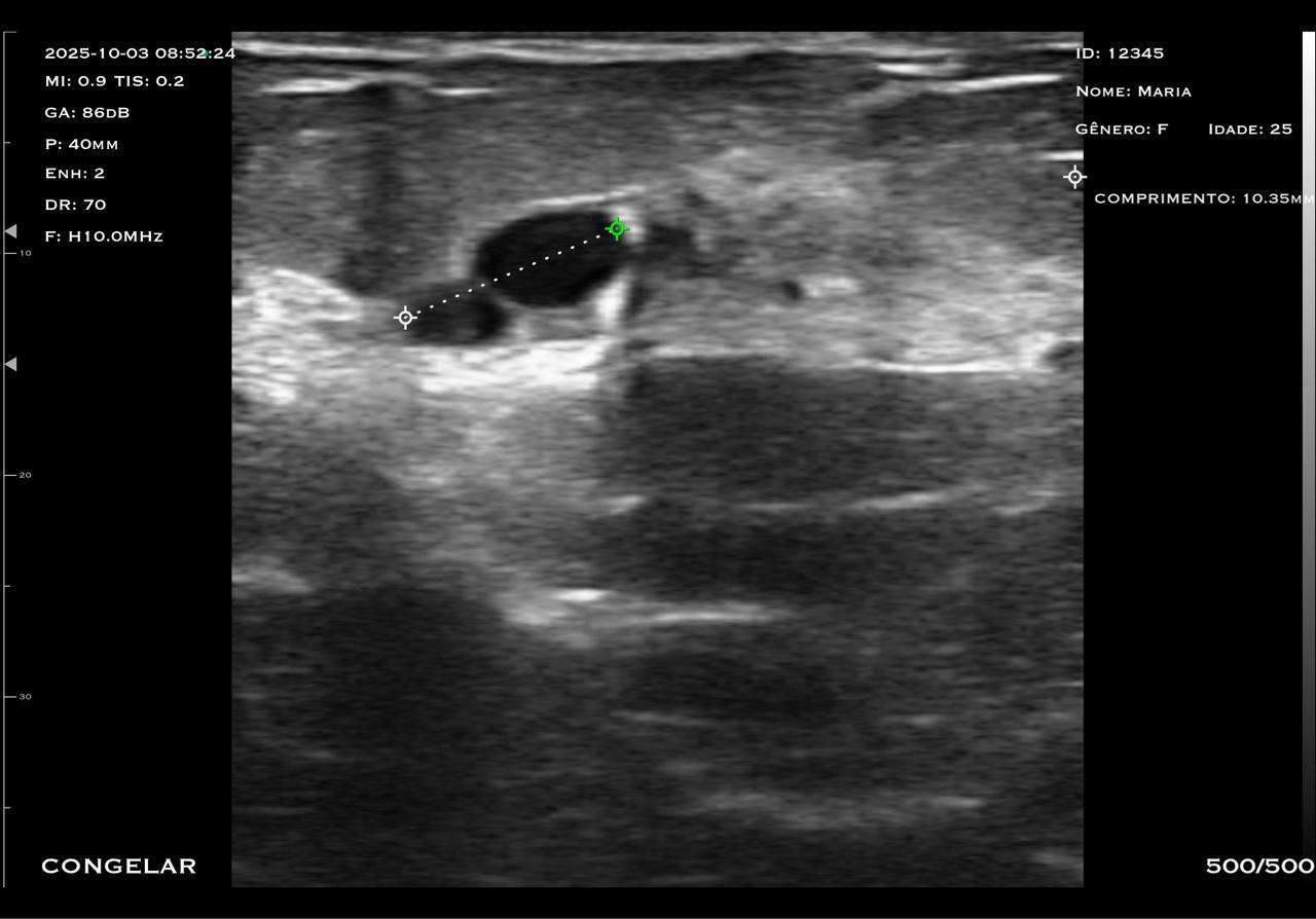
Com tecnologia linear e frequência de 7,5 a 10 MHz, o modelo M2HD é a escolha ideal para quem busca alta resolução em exames superficiais e intermediários, com foco em versatilidade e precisão.
O transdutor linear oferece imagens nítidas e detalhadas, permitindo a visualização precisa de estruturas como mama, tendões, músculos e articulações.
A frequência ajustável garante versatilidade para diferentes tipos de exames, desde avaliações mastológicas até procedimentos ortopédicos.
Com apenas 240g, sem fio, e com longa duração de bateria, o Mobissom/Clarius é o menor e mais completo ultrassom ultra portátil do mercado.
Com 128 elementos e tecnologia de ponta, o Mobissom M2HD entrega alta performance com qualidade de imagem similar aos equipamentos convencionais (de carrinho).
Possui modo biópsia com guia de centro, auxiliando profissionais que realizam procedimentos com agulha fora de plano além de indicar a angulação correta para procedimentos com agulha dentro de plano.
Conecta via Wi-Fi com dispositivos móveis e exibe as imagens através de um aplicativo diretamente na tela do seu celular ou tablet (Android ou iOS). Não há necessidade de conexão com a internet, permitindo realizar exames em qualquer lugar, inclusive em áreas remotas.
Fundada em 2016, fomos os pioneiros na implementação desta tecnologia no Brasil. Uma concepção de Edson Lopes (CEO) e profissionais com mais de 30 anos de experiência em multinacionais na área da ultrassonografia.
Com escritório sediado em São Paulo, atendemos todo o Brasil com garantia, assistência técnica, possibilidade de seguro anual de baixo custo, além dos certificados da ANVISA, Inmetro e Anatel.



No cartão, em 12 VEZES de
ou R$ 22.000 À VISTA
Consulte as condições de financiamento bancário em até 60x.
Agende uma demonstração online com nossas applications e veja os recursos e as imagens em tempo real além de tirar todas as suas dúvidas.
A Mobissom preza pela segurança e qualidade no atendimento dos seus clientes. Com 10 anos de mercado e pioneira no mercado dos ultra portáteis no Brasil, é 100% regularizada no Brasil e todos os seus equipamentos possuem registro na ANVISA além dos certificados do inmetro e Anatel.
OBS: Equipamentos adquiridos fora do Brasil e sem intermediação da Mobissom, não possuem registro.
Nós oferecemos 1 ano de garantia.
Se por acaso ocorrer qualquer problema técnico com o seu equipamento, dentro do período de garantia, é só nos enviar o seu Mobissom que realizaremos o conserto. Após a garantia, nossos técnicos realizam uma análise e passam o orçamento com as peças a serem reparadas.
Temos um escritório com assistência técnica em Sâo Paulo e atendemos todo o Brasil.
A Mobissom possui parceria com seguradoras confiáveis que oferecem um seguro anual de baixo custo para o seu Mobissom contra queda e roubo.
Caso queira contratar o seguro, é só solicitar aos nossos especialistas que indicarão as empresas parceiras.
O aplicativo para os equipamentos da linha Mobissom é gratuito e livre de mensalidades, disponível para Android e iOS. Você também tem a possibilidade de espelhar as imagens do celular/tablet para um monitor de televisão ou computador.
Podemos agendar uma demonstração via vídeo conferência (leva apenas 30 minutos) através do Google Meets, onde exibiremos exames em tempo real além de tirar todas as suas dúvidas.
Outra possibilidade é marcar uma visita no nosso escritório em Sâo Paulo, ou nos encontrar em um dos congressos que participaremos em todo o Brasil ao longo do ano.